尖端技術顯威力!愛爾眼科成功開展湖南省首例眼科手術機器人輔助視網膜下注藥術
2025年2月28日,愛爾眼科長沙醫學中心陳忠平教授團隊成功實施湖南省首例眼科手術機器人輔助視網膜下精準注射手術,標志著該中心在疑難眼底疾病診療技術領域實現重大突破,湖南省眼底疾病精準治療進入新階段。
尖端技術解決臨床難題
視網膜下出血是一種嚴重威脅視力的眼底疾病,可由多種原因引起,包括新生血管性年齡相關性黃斑變性(AMD)、息肉狀脈絡膜血管病變(PCV)、視網膜大動脈瘤破裂等。視網膜下注射重組組織型纖溶酶原激活劑(rt-PA)是清除積血、促進視力提高的有效治療手段,但該治療方法需要將藥物精準注射到視網膜神經上皮層和色素上皮層之間,手術操作空間極小、精度要求極高,傳統手術難度大,風險高。
眼科手術機器人的應用為這一難題提供了解決方案。該機器人系統基于機械臂精準運動和穩定性,手術器械運動精度高達3微米,可以實現視網膜下精準給藥,顯著減少術中并發癥,提升患者治療效果和體驗。


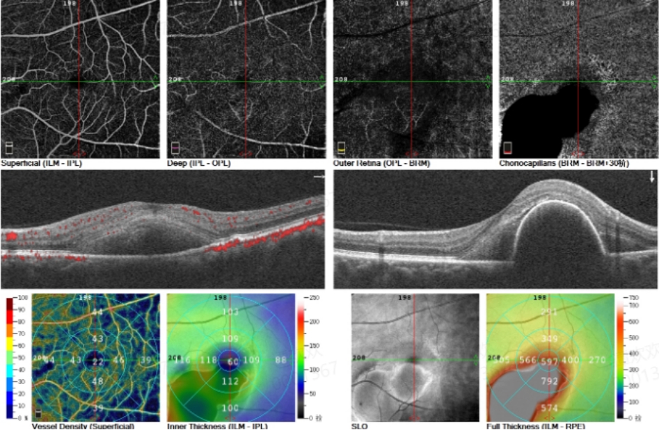
▲左眼初診時眼底彩色照相及OCTA
成功案例彰顯技術優勢
來自郴州的胡先生(化名),今年59歲,他告訴醫生4天前自己在開車時,突然間眼睛中央就被紅色的血塊遮住了,以為觀察兩天會好起來,結果越來越看不清了。于是來到長沙愛爾,經眼底科譚歡歡副主任醫生詳細檢查,確診為"左眼AMD(PCV型)"。患者入院時視力0.2。
經過詳細的術前準備和評估,請陳忠平教授會診,針對患者的病情發展,陳忠平教授帶領團隊采用眼科手術機器人輔助進行了精準治療。手術首先完成常規玻璃體切割,隨后通過機器人系統操作顯微注射針,將rt-PA精準注射到患者視網膜下,輔助視網膜下積血清除。整個手術過程精準流暢,無并發癥發生。
術后一周隨訪,王先生的視力從術前的指數顯著提高到0.4,視野和色覺也有明顯改善。這一結果充分體現了眼科手術機器人在提高治療效果方面的獨特優勢。


▲左眼手術后七天復診眼底彩色照像及OCTA
專家觀點與技術前景
陳忠平教授在接受采訪時表示:"眼睛是人體最為精細復雜的器官之一,眼底手術對醫生的顯微操作能力要求極高。傳統手術中,即使是經驗豐富的眼科醫生,在面對需要精確到微米級別的操作時也存在生理顫抖的局限。眼科手術機器人的應用幫助醫生突破了這一生理極限,特別是在視網膜下注射等超精細操作中展現出巨大價值。"
"這次手術的成功不僅驗證了眼科手術機器人在湖南省的臨床應用可行性,更為我們治療眼底疾病提供了新的工具和思路。未來,我們將進一步拓展眼科手術機器人的應用范圍,為更多眼底疾病患者提供更精準、更安全、更有效的治療方案。"陳忠平教授補充道。
愛爾眼科長沙醫學中心將繼續推進眼科手術機器人在臨床中的應用研究,并計劃將其用于眼科基因藥物和干細胞等新型治療方案的精準給藥,為更多視力障礙患者帶來福音。
譚歡歡 周巧

▲陳忠平教授團隊與手術機器人
- 免責聲明:本文內容與數據僅供參考,不構成投資建議。據此操作,風險自擔。
- 版權聲明:凡文章來源為“大眾證券報”的稿件,均為大眾證券報獨家版權所有,未經許可不得轉載或鏡像;授權轉載必須注明來源為“大眾證券報”。
- 廣告/合作熱線:025-86256149
- 舉報/服務熱線:025-86256144
